What Is Lobular Breast Cancer?
Breast cancer is the #1 cancer among women in Europe.
1 in 7 breast cancer patient has lobular breast cancer.
Invasive Lobular Carcinoma (ILC) is the 2nd most common breast cancer type in women – more common than ovarian, liver, and oesophageal cancer combined,
yet it receives less than 1% of breast cancer research funding.
- Lobular breast cancer does not form a lump, making it hard to detect and monitor with standard imaging.
- Chemotherapy often does not work well in ILC treatment.
- There is still no effective or tailored treatment for metastatic ILC.
2nd most common type of breast cancer
Harder to detect with standard imaging — may go unnoticed for longer, leading to delayed diagnosis and treatment
Receives less than 1% of breast cancer research funding
ILC specific clinical trials are needed!
What Makes Lobular Breast Cancer Different From Other Types?
- Cell “glue” is missing:
Most lobular tumours lack a protein called E-cadherin, which normally helps cells stick together. The absence of this protein in ILC causes the cancer cells to spread out individually and in thin lines, rather than forming a lump.
- Patterns of growth:
Lobular breast cancer cells often grow in thread-like patterns, which can look a bit like a spiderweb. This makes tumours hard to detect by touch or even on scans.
Doctors call this a “loose or diffuse growth pattern“.
- Subtypes and mixtures:
There are several subtypes of lobular tumours (e.g. classic, alveolar, solid, tubulolobular, pleomorphic). Sometimes, lobular and NST/ductal cancers occur together – these are called mixed ILC/NST tumours.
- Hormone sensitivity:
Most lobular tumours are hormone-sensitive, meaning they respond well to anti-hormone therapies at first. Over time, though, some tumours can become resistant to these treatments.
- Chemotherapy Sensitivity:
Lobular breast cancer is often not sensitive to chemotherapy. Its unique biology – low proliferation, diffuse growth – means standard chemo may offer limited benefit.
Why Lobular Breast Cancer (ILC) Can Be Harder to Detect?
Unlike other breast cancers, ILC usually doesn’t form a clear lump. Instead, it grows in thin strands that blend into normal breast tissue without distorting it.
Imaging Challenges:
- On mammograms, ILC is often missed because it doesn’t form a mass and microcalcifications (a typical warning sign in other breast cancers) are rarely present. Estimates suggest they show up in only 1–25% of ILC cases.
- Up to 30% of invasive lobular carcinomas are not identified on mammograms.
- Ultrasound often fails to detect ILC, and diagnosis is often delayed.
- Dense breast tissue (means there’s more glandular and fibrous tissue than fat) makes ILC even more difficult to spot.
- Because of these factors, lobular tumours are sometimes only diagnosed once they are already large or have spread.
Better detection methods:
Magnetic Resonance Imaging (MRI) scans and Contrast enhanced mammograms (CEM) are often more effective at finding ILC.
Metastases:
When lobular breast cancer spreads to other parts of the body, it can be more difficult to detect. ILC metastases are often less visible on standard scans.
Important note!
Even though lobular breast cancer is harder to detect, regular participation in breast screening programs remains crucial, since many tumours and microcalcifications (which can be malignant) can still be identified this way.
Treatment Challenges in Lobular Breast Cancer
1. Imaging and Surgical Planning Difficulties
The diffuse growth pattern of lobular breast cancer makes it hard to define tumour margins.
This can complicate surgery, sometimes resulting in the need for additional procedures, which may delay further treatment.
2. Hormone Therapy Resistance
Most lobular breast cancers are hormone receptor-positive and respond well to hormone therapy at first. Over time, though, some can develop resistance. The unique biology of lobular breast cancer may influence how effective endocrine therapies are in the long term.
3. Limited Chemotherapy Benefit
Chemotherapy uses drugs to kill cancer cells throughout the body. However, lobular breast cancer tends to be less sensitive to chemotherapy compared to other breast cancer types. In some cases, hormone-based treatments may offer better results.
More studies are needed to identify which subgroups of patients with lobular breast cancer could benefit most of chemotherapy.
4. Radiation Therapy Complexity
Radiation therapy uses high-energy rays to target and destroy cancer cells. It’s an effective treatment, but because lobular breast cancer can affect multiple areas of the breast (multifocality), achieving precise targeting can be more challenging.
5. Lack of Targeted Therapies
Lobular breast cancer tends to have unique genetic changes, such as CDH1 loss, but there are currently no proven effective treatments that target these changes directly.
6. Exclusion from Clinical Trials
Many clinical trials don’t specifically include or track patients with lobular breast cancer, limiting their access to new treatments.
This creates a cycle where lobular disease remains under-represented and under-research.
Difference in Metastatic Spread
Where Lobular Breast Cancer Tends to Spread
Next to common breast cancer metastasis sites like the lungs, liver, bones, and brain, lobular breast cancer often travels to less expected places, including:
- Gastrointestinal tract (stomach, colon, small intestine)
- Peritoneum (lining of the abdominal cavity)
- Ovaries and uterus
- Leptomeninges (lining of the brain and spinal cord)
- Skin and soft tissue
- Bladder and ureters
- Eyes (orbit, eye sockets, extraocular muscles, periorbital tissue)
Find more about sites of recurrence and metastatic lobular breast cancer here.
created with Biorender.com
What Patients Should Know
If you have lobular breast cancer and notice ongoing unusual symptoms – digestive issues, bloating, pelvic pain, neurological changes – don’t dismiss them. They may signal metastasis in areas not typically associated with breast cancer.
Advocating for lobular-aware imaging and follow-up is essential.
Lobular breast cancer is different to other breast cancers – and our care shouldn’t be the same either.
Key Information and Links on Lobular Breast Cancer
Common Symptoms
Thickening or swelling of part of the breast or skin changes
Change in size or shape of the breast
New thickening in the breast or underarm
Risk Factors
Age and gender
Family history of breast cancer / Genetic mutations
Menstrual and reproductive history
Postmenopausal Hormone use
Diagnostic Methods
Mammogram and Contrast Enhanced Mammogram (CEM)
Ultrasound
Magnetic Resonance Imaging (MRI)
Biopsy
Advanced Imaging Techniques
Breast Density Analysis
Positron Emission Tomography (PET) Scans
Whole-body MRI
Understanding Lobular Breast Cancer
Understanding its characteristics is crucial for symptom detection, effective treatment and management.
What are the symptoms of lobular breast cancer?
Symptoms may include a thickening or hardening in the breast, changes of the skin possibly leading to itching and tugging sensations, changes of the breast size or shape, and sometimes no noticeable symptoms at all.
Regular screenings are crucial for early detection. While extremely rare, lobular breast cancer can occur in men. Awareness and early detection are key to effective treatment.
Symptoms of metastatic ILC may include bone or abdominal pain, abdominal distention and/or bloating, unexplained shortness of breath, unusual pelvic bleeding and unexplained weight loss, changes in vision and headaches.
Learn more on metastatic lobular breast cancer by following this link to an brilliant article from LBCA.
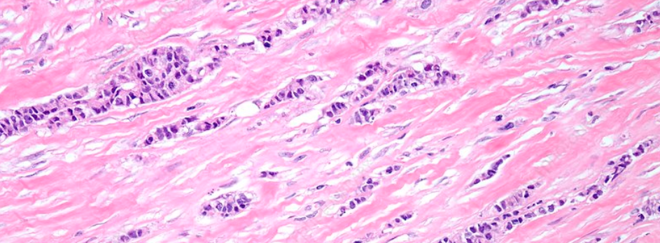
How is lobular breast cancer diagnosed?
Diagnosis typically involves a combination of mammograms, ultrasounds and biopsies, followed by histopathology (microscopic images of the biopsy).
Though mammograms are important for the early detection of breast cancer, they are less likely to detect ILC than other types of breast cancer. Because ILC grows in straight lines rather than in a mass or lump, it doesn’t always appear clearly on a mammogram. Therefore, a breast MRI may be needed to diagnose ILC.
Confirmation of the diagnosis of ILC requires histopathology.
What treatment options are available?
Treatment for lobular breast cancer may include surgery, radiation therapy, chemotherapy, bisphosphonates and anti-hormone therapy or targeted therapy depending on the stage and characteristics of the cancer.
Patient recommendations / Diagnosis ILC: What's next
- Trust your gut feeling.
In case you have lasting symptoms initiate further clinical investigation. - Ask for an MRI scan.
Dense breasts are a risk of developing breast cancer. In 30% of regular mammograms or ultrasound, lobular breast cancer is not seen.
You can find more information here to support further discussion with you clinical team.
Risk factors: Is lobular breast cancer hereditary?
While mostly not hereditary, having a family history of breast or stomach cancer can increase risk. A familial mutation in the E-cadherin (CDH1) or α-catenin gene (CTNNA1) may increase the risk of developing ILC. Genetic counselling and testing may be recommended for those with a strong family history.
What do I need to know about Breast Reconstruction after operation?
Breast reconstruction is an option for many patients following surgery. It can help restore the shape of the breast and support emotional recovery, but there are different techniques, timing considerations, and potential risks to understand.
For detailed guidance, see this resources:
- Breast Reconstruction Fact Sheet (overview and key information)
- What to Expect After Breast Reconstruction (practical advice and recovery tips)
Rehabilitation, aftercare & lifestyle: What can I do?
After breast cancer treatment, small lifestyle changes can support recovery and long-term health.
Find some helpful resources here:
Lifestyle & wellbeing
Stay active, maintain a healthy weight, limit alcohol, and avoid smoking.
- Mayo Clinic: Adapting your lifestyle after breast cancer
- World Cancer Research Fund: Living well after cancer
Nutrition
No single evidence based “cancer diet” exists. Eat a balanced diet with vegetables, fruit, whole grains, and lean protein.
- The Royal Marsden: Diet and breast cancer
- World Cancer Research Fund: Eating well
- Cook for Your Life: Recipes & nutrition tips
Exercise & bone health
Weight-bearing activity, yoga, and strength training support bone health, especially if on hormone therapy. Ensure adequate calcium and vitamin D and discuss DEXA scans with your doctor.
- World Cancer Research Fund: Moving more
- PubMed: Twelve-Minute Daily Yoga Regimen Reverses Osteoporotic Bone Loss
- Dr. Fishman: 12 Poses vs Osteporosis
- Dr. Fishman: 12 Yoga Poses for Bone Health & Osteoporosis of the Spine
Support & community
Counselling, support groups, and patient networks provide guidance and encouragement.
Quick Tips
- Move daily: even walking helps energy, mood & bones
- Eat balanced meals: vegetables, fruit, whole grains & lean protein
- Protect your bones: calcium, vitamin D & check with your healthcare team
- Connect: join support groups or patient networks
Always consult your healthcare team before starting new exercise or nutrition plans, and speak to a qualified nutritionist for personalised guidance.
Further Reading on Lobular Breast Cancer
Research and Studies
- National Cancer Institute: Lobular Breast Cancer Overview
- American Cancer Society: Understanding Lobular Carcinoma
- Breast Cancer Research Foundation: Invasive Lobular Carcinoma: Symptoms, Treatment, Research
- European Journal of Cancer: Lobular Cancer Research
- Cancer Research UK: Lobular Breast Cancer Insights
- Journal of Clinical Oncology: Publications Lobular Breast Cancer
- American Lobular Breast Cancer Statistics, 2025
Support and Advocacy
- European Lobular Breast Cancer Advocates
- Lobular Breast Cancer UK
- Stichting Lobulair Borstkanker
- Lobular Breast Cancer Alliance
- Breast Cancer Now: Support Resources
- Macmillan Cancer Support: Helpline
- Cancer Support Community: Online Forums
- Living Beyond Breast Cancer: Educational Materials
- Europa Donna: The European Breast Cancer Coalition
Latest News, Research & Stories
October 2025 Events Recap
October 2025 was a busy month for patient advocates across Europe. They raised awareness, shared knowledge and...
In Memory of Silvia Ingrid Knoll-Pflugbeil
It is with great sadness that we must share the news of the passing of Silvia Ingrid Knoll-Pflugbeil, a dedicated...
SABCS: Patient Advocates Register For Free
Thanks to ongoing patient advocacy efforts, lobular breast cancer will be featured in a special session at the San...
